Changing Faces, Changing Lives

Vallerie’s Story

Girl with cleft lip and palate, holding a fruit skewer

Meet Vallerie – Born with a bilateral cleft lip, she received her diagnosis during pregnancy and began treatment at just 14 weeks old. Over the years, Vallerie has undergone 7 surgeries, including a hip-to-face bone graft, Lefort 1 Maxilla Advancement, and septorhinoplasty – as well as over a decade of orthodontic care.

Despite the challenges, she speaks with strength, humour, and deep gratitude for the Craniofacial Unit. “It felt like a second home,” she says; one filled with familiar hallways, sausage rolls, Pixar movies, and the steady hands of her care team.

Now in her 20s, Vallerie reflects on how her cleft shaped her life, not by limiting her, but by building her resilience. “I’ve never let it hold me back. I’m loud, opinionated, strong… and always happy to explain what a cleft is, just ask!”

Her advice to others: “Clefts are not a weakness; they are a strength.” Your child will be more resilient than you can imagine, and the care available today is better than ever.

Interview with Vallerie…

Age at Diagnosis?

My mum received my diagnosis during pregnancy.

What treatment have you or your child had for this Craniofacial difference?

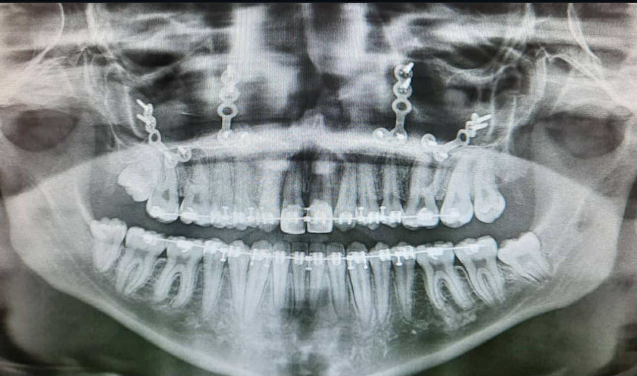
I have had 7 surgeries as treatment for my Cleft Lip. My first surgery was at 14 weeks old, and my most recent surgery was in 2023, when I was 21 years old. I have had a hip-to-face bone graft, Lefort 1 Maxilla Advancement (I have attached an x-ray image of this), and septorhinoplasty, as some examples of my more recent surgeries. I also had two rounds of braces, 1 year between 9 and 10 years old, and 4.5 years between 17 and 20 years old (total of 5.5 years of braces over a 11-year period). I had ongoing orthodontic care from age 8 to age 20. I received some speech therapy, although only a few sessions. The ‘worst’ surgery to recover from was definitely my Maxilla Advancement. I was on a puree diet for two weeks, and then a soft diet for a further 2 weeks. My mouth was banded shut, and I had to brush my teeth with a baby toothbrush because my normal one might have broken the stitches. The pain was dull but constant, and I literally couldn’t recognise myself in the mirror for months afterward as the swelling went down slowly. I love the result and would do it all over again if I had to, but it was the most intensive healing process I can remember.

Girl with cleft lip and palate
Teeth X-ray of a girl with cleft lip and palate

What do you remember most about the early days of treatment?

Visiting the Craniofacial Unit at the Womens and Children’s Hospital always felt like a second home to me. A strange, eerie, clinical type of second home. I vividly remember the smells of the toy corner, of the meeting room with the headshots of the Craniofacial unit members. The ways that my surgeons (Including Prof. David) would touch my face to feel the bones underneath. I could walk to the unit from the front doors of the hospital with my eyes closed, even today. The gift shop and a cafe were always on the way to the lift we needed to take, and I would plead with my Mum to get a sausage roll because you could smell them from the foyer. She gave in often, and they are some of the fondest sausage roll memories I have (as a child, I *really* loved sausage rolls, so this is a huge compliment). I remember different parts of the hospital too, like the room where they took photos of my face while I sat in a dental chair. The walls and ceiling had pictures of fish on it, and the photographer would often say “Look at the clownfish!” in order to position my head just right. I also remember the dentist office waiting room, and how they would play full-length pixar movies while we waited. Always having been undergoing treatment, I was never afraid. It was just something I had to do. I knew that the treatment I was receiving would make life easier (and I would always gloat that “one day I’m going to get a free nose job” – which I absolutely did). Treatment was never ‘not’ part of my life. It was the norm. Appointments, surgeries, dentists, orthodontists – I’ve always had something going on. In fact, it’s sad now knowing that I’ve been discharged. I no longer have a ‘next surgery’ or a ‘next appointment’ – I have never known my calendar to be so empty!

How has this Craniofacial difference impacted your life and family?

Having a cleft has impacted me in many ways. I am a resilient person, and I have always been a strong advocate for craniofacial differences. Even though I faced my fair share of teasing and feeling ‘different’ – I have never let that stop me from being myself. I am loud, opinionated, strong, and I am always quick to crack a joke, and my cleft has never held me back from any of this. My family was affected by my condition, of course. I am my parents first child. My Mum and Dad have both individually shared with me how scary it was receiving my diagnosis. In 2001, they didn’t have the internet and instead had friends and family scouring through books to find information about clefts. They had no clue what to expect and feared the worst. At this point, they didn’t know if I had a cleft palate or not. Both of my parents met with Prof. David before I was born, and through this meeting they were able to understand what my life and treatment would look like. Their trust in Prof. David has always underpinned my entire treatment journey. Even today, they will say things like “well, Professor David said you would only have to have a few surgeries” or “Professor David always told us that this wouldn’t impact you too much”. My Mum’s strength and reassurance especially has always carried me through my Cleft treatment. She never wavered in her trust in my team and my treatment. It was her strength that kept me so calm and trusting in everything being okay.

Bright smiling young woman who has cleft lip and palate, sitting in an office environment.
Comfortable woman standing on porch of craniofacial clinic in Australia, smiling for photo.

Is there something you wish more people knew about this condition?

I wish that people knew the difference between a Cleft Lip and a Cleft Palate. So often, others will confuse the two terms, despite them meaning different things. I also wish that people knew that it’s okay to ask me about it. I have had people know me for years before ever asking me about it, telling me they “felt weird about asking” – even though I am always happy to explain.

What is one piece of advice you would give to someone receiving a similar diagnosis for their child?

Clefts are not a weakness; they are a strength. Your child will be stronger and more resilient at the end of their journey. Cleft care is constantly evolving and improving, and children today have better outcomes than ever before. Everything will be okay.

Share This Story:

Facebook
Email

More

Stories

After her routine 20 week ultrasound scan, mum Angel was called in to her GP’s office. “The baby we’d been trying for, for almost three years would be born with a significant (1cm+) cleft lip and palate."
My daughter Briana was only 2 days old when she first met Professor David. I was in absolute shock when he walked in, knowing how busy he was. How amazing is it that this man cares so much about this little child that has just been born? When he held her on that first meeting, he said ‘You are the most beautiful little girl and we will do everything for you’.
Cecilia was born with a unilateral cleft lip and palate. She was inspired by the care given to her by medical staff during her treatment and is now a nurse herself. “Everyone is different and it can be hard, but when you grow up it’s not going to matter at all”.
Meet Flora – a bright and resilient little girl born with a bilateral cleft lip and palate. Her family received her diagnosis during a routine pregnancy scan, and from that moment, they began a journey filled with challenges, strength, and hope.
Meet Hunter - Born in May 2022, Hunter was diagnosed with cleft lip and palate and metopic craniosynostosis at birth. He had his lip repaired at 6 months and his palate repaired at 11 months old.
It wasn’t until Kate was 19 years old that her father told her that he fainted at the sight of her as a baby. It is a significant moment, because it indicates just how far Kate has come. Her story is one of anguish and triumph – a craniofacial journey that will last her whole lifetime.
After her routine 20 week ultrasound scan, mum Angel was called in to her GP’s office. “The baby we’d been trying for, for almost three years would be born with a significant (1cm+) cleft lip and palate."
I was 6 years old when I first came to Australia from Pakistan where I was born. However, I was born with a birth defect called 'Cleft Lip Palate', 1 year later my father came to Australia by boat. He was a refugee and was finding it really hard to find a proper job (as he was uneducated) and to also support us back in Pakistan.
Scroll to Top